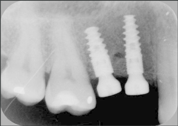
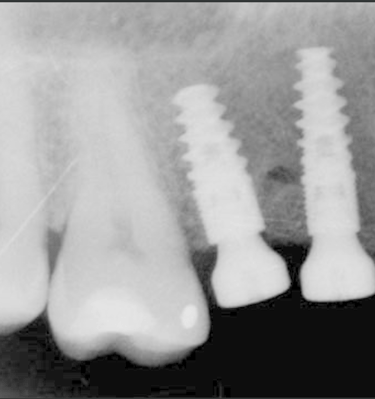
Los implantes dentales, reemplazan la raíz del diente.
Tras la perdida de un diente, el equilibrio de la mordida se pierde siendo la causa para otras afectaciones como: movimientos de otras piezas dentales y reabsorción del hueso en la zona faltante.
Proceso para un implante dental
La colocación de un implante dental requiere una serie de etapas para el exito del tratamiento










1. Registros iniciales: Modelo digital, tomografía dental y exámenes de laboratorio clínico.
2.Simulación y evaluación: Se planifica digitalmente el implante para evaluar cualquier riesgo.
3.A partir del diseño digital, se obtiene una guía quirúrgica para las colocación precisa del implante.
4.Colocación del implante: Realizada por un especialista en un cirugía.
5.Osteointegración: El implante debe fusionarse con el hueso y estabilizarse aprox. 3-6 meses
6.Rehabilitación: Se colocará una corona al implante para terminar el reemplazo del diente
Preguntas Frecuentes
¿Es seguro un implante dental?
Sí, es un procedimiento validado a partir de evidencia científica y planeado digitalmente, para controlar cualquier riesgo.
¿Dónde están ubicados?
Estamos en David, provincia de Chiriquí, con fácil acceso y estacionamiento disponible.
¿Cuánto tiempo toma un tratamiento para un implante dental?
Depende de cada condición clínica, pero se puede estimar entre 3 a 6 meses.
¿Tienen laboratorio dental propio?
Sí, contamos con un laboratorio dental para garantizar calidad y rapidez.
¿Durante el tratamiendo permanezaco sin diente?
De acuerdo al plan de tratamiento se puede colocar un temporal para mejorar la estetica, por ejemplo en la zona de adelante, garantizamos que el paciente pueda sonreir con confianza.
¿Hay facilidades de pago?
Sí, la colocación de un implante es un proceso de acuerdo al plan de tratamiento clínico, durante cada etapa se pueden hacer abonos.
